Az Önkormányzat röntgen-mellkas vizsgálatot szervez 2025-től, a megszokott tüdőszűrés helyett, november 17-e és december 13-a között. A jóval átfogóbb vizsgálatot minden százhalombattai állandó, illetve tartózkodási hellyel rendelkező lakos számára ingyenesen biztosítják. Bár beutaló szükséges, nekik azonban nem kell külön kérni, mert az időpontfoglalás nyomán automatikusan kiállítja azt a háziorvos. Időpontok: hétfő 8-14, kedd-szerda-csütörtök 13-19, péntek 10-17 óra között.
Dr. Berzéki Ferenc főigazgató lapunknak elmondta, a tüdőszűrés egyirányú felvételt készít, így csak a TBC kimutatására alkalmas, ami nagyon visszaszorult, összesen mindössze 483 esetet diagnosztizáltak országosan tavaly. Emiatt nem is kötelező már a szűrés, kivéve néhány szakterületet, mint az egészségügy és a közétkeztetés.
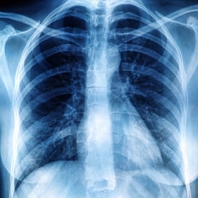
A röntgen-mellkas esetében szemből és oldalról is készül felvétel, a vizsgált terület nagyobb, így átfogóbb képet nyújt a mellkas minden struktúrájáról, és ezáltal a tüdőn, a szíven, az érhálózaton, a csontokon és a légutakon lévő elváltozások is kimutathatóak. Azért is indokolt a mélyrehatóbb vizsgálat, mert több mint 10 ezer tüdődaganatos megbetegedést regisztráltak tavaly. Nagyon fontos, hogy időben felismerjék a daganatot, mert ezáltal jelentősen javul a gyógyulási esély.
A tüdőszűrés megszokott kampány rendben zajlott, ezért az új vizsgálat is részben időkeretes, fontos azonban, hogy a röntgen-mellkas a most meghirdetett november 17-e és december 13-a közötti időszakot követően is, egész évben igénybe vehető.
A battai lakosoknak nem kell külön beutalót kérni a háziorvostól, mert azt kiállítják az időpontfoglaláshoz kapcsolódóan. Azok is kapnak egy évig érvényes beutalót röntgen-mellkas vizsgálatra – és elérhető lesz az online EESZT felületen –, akik nem veszik igénybe most, de bármilyen más okból kifolyólag megjelennek a háziorvosnál. A SZEK-nek kötelező ellátni a nem helyi lakosokat is, ők magukkal hozzák a beutalót, ami azért szükséges, mert a társadalombiztosító finanszírozza a vizsgálatot.
A röntgen-mellkas vizsgálatra tehát csak időpontot kell foglalnia a városlakóknak, ami az Univerzo alkalmazás online felületén, vagy a Százhalombattai Egészségügyi Központ recepcióján személyesen, illetve telefonon lehetséges.
A páciens részletes leletet fog kapni, amelyet az EESZT felületén, illetve a háziorvosánál megismerhet.




Zoltán Imre Gaál
Időpontot kérek a vizsgálathoz