Erre biztat a százhalombattai önkormányzat, amely idén is ingyenes tüdőszűrést szervezett a városlakók részére október 29-től november 29-ig. A törökbálinti tüdőgyógyintézet mobil szűrőállomásán a Százhalom Egészségügyi Központban lehet jelentkezni hétfőn 12-től 18, kedden 8-tól 14, szerdán 12-től 18, valamint csütörtökön és pénteken 8-tól 14 óráig.
A tüdőszűrés a felnőtt lakosság számára ajánlott. Elvégzése 40 év felett évente egyszer ingyenes, a törvény által kötelezetteknek szintén térítésmentes. Az önkormányzat 3 millió forinttal járult hozzá, hogy a helyben szervezett szűrés mindenki számára kényelmesen elérhető és ingyenes legyen. Egyéb esetben térítésköteles a szűrés, például a munkahelyi alkalmassági vizsgálat részeként 1700 forint a díja. Fontos tudni, hogy a 14 és18 év közötti gyermekek vizsgálatához beutaló és szülői beleegyező nyilatkozat szükséges. A vizsgálatra személyi igazolványt, TB kártyát és – ha van – előző évi tüdőszűrőigazolást kell vinni.
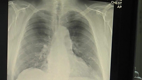
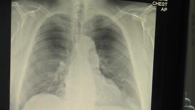
A százhalombattai önkormányzat évtizedek óta szervez tüdőszűrést a lakcímkártyával rendelkezők részére a lakosság egészségmegőrzése érdekében. A tüdőszűrés alkalmas a TBC, illetve sok más tüdőbetegség időben történő felismerésére. A TBC és a tüdőrák kezdeti stádiumában tünetmentes, ezért különösen fontos, hogy akkor is rendszeresen vegyünk részt szűrővizsgálatokon, ha semmiféle panaszunk nincs – olvasható Vezér Mihály polgármester közleményében.











